はじめに
僧帽弁閉鎖不全症とは、犬に発症しやすい心臓病です。 心臓の左心房と左心室の間にある僧帽弁がうまく閉じなくなり、血液が逆流する病気のことです。 おもに犬で一般的によくみられる病気です。
病態
心臓の左心房と左心室の間には僧帽弁という血流の逆流を防ぐ弁があります。 僧帽弁がなんらかの原因で変性すると血液が逆流し、心臓が大きくなります。 心臓が大きくなると肺に負担がかかるので、肺水腫(肺に水が溜まる病気)を併発します。 肺水腫になると呼吸が苦しくなるので死に至る場合があります。

症状
- ・咳が出る
- ・昔と比べて散歩の距離が減り、歩くのを嫌がるようになった(運動不耐性)
- ・呼吸が速い
咳が出る他の病気
- ・気管虚脱
- ・肺炎や肺腫瘍などの肺疾患
- ・ケンネルコフ
- ・異物などの誤飲
診断
循環器疾患の診断には、以下の検査を組み合わせて総合的に診断します。
- ・血液検査
- ・レントゲン検査
- ・心臓超音波検査(エコー検査)
- ・血圧測定
- ・心電図検査
心臓超音波検査は技術を要する検査の一つであり、一般的には難しいとされていますが
当院には経験豊富な獣医師が所属しており、詳細な検査が可能です。
分類(ACVIM)
- stageA MRのリスクがある犬種 心臓に異常な構造はなし(キャバリア)
- stageB1 心臓エコー・X線で基準を満たさない(EPIC基準を満たさない)
- stageB2 心臓エコー・X線で基準を満たす(EPIC基準を満たす)
- LA/AO 1.6< LVIDDN1.7< VHS10.5<
- stageC 肺水腫になったことがある
- LA/AO 1.6< LVIDDN1.7< VHS10.5<
- stageD 難治性(末期)
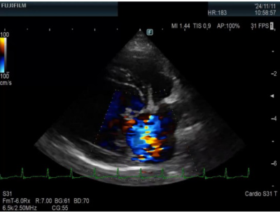
※逆流があるエコー写真です。黄色の所が逆流を認める箇所です。

治療
・内科治療
ACVIM分類のstageB2からお薬を飲み始めます。
- ・心臓の薬(ピモベンダン)
- ・利尿薬(フロセミドやトラセミド、スピロノラクトンなど)
- ・血管の薬(アムロジピン、シルデナフィル)
・外科治療
根本的な治療は外科手術です。
難治性の僧帽弁閉鎖不全症の場合、二次病院へのご紹介となります。
まとめ
心臓の薬が必要かの判断は、必ず超音波検査(エコー検査)とレントゲン検査を実施してから決めます。 心臓が大きい場合、必要に応じて利尿薬を飲ませ始めます。その場合は血液検査をします。 当院では超音波検査をしていないにも関わらず、心臓の薬を処方されている場合などのセカンドオピニオンを受け付けています。お気軽にご相談ください。 また、心雑音が聞こえると言われたことがあるワンちゃんはDOGドック(健康診断)をお勧めしておりますので こちらもご相談くださいませ。



